详情
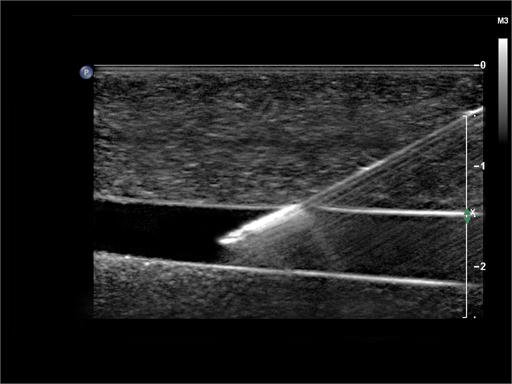
超声引导下血管穿刺训练模块(2支)/(4支)
型号:PC-BP023/PC-BP023.01
超声引导下血管穿刺训练模块是一个轻便经济的培训模块, 有助于任何临床医生练习超声引导下的动静脉穿刺及置管技术, 从中受益;





超声引导下血管穿刺训练模型2支血管PC-BP023 4支血管PC-BP023.01
超声引导下血管穿刺训练模块(2支)/(4支)
型号:PC-BP023/PC-BP023.01
超声引导下血管穿刺训练模块是一个轻便经济的培训模块, 有助于任何临床医生练习超声引导下的动静脉穿刺及置管技术, 从中受益;